-
全身銀屑病癬渾身癢癢怎么辦治療方法
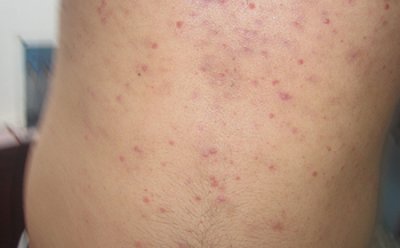
身上長銀屑病癬會導致皮膚細胞在皮膚表面迅速積聚。這很常見,并且會影響各個年齡段的人。銀屑病癬通常在干燥和紅色的皮膚斑塊上有厚厚的銀色鱗片。渾身癢癢是銀屑病癬的典型癥狀之一,程度從輕到重。 銀屑病癬渾身...[詳細]
-
手腳銀屑病癬癥狀照片及自然治療方法有哪些
銀屑病癬是一種常見皮膚病狀況,主要表現為皮膚細胞的生長比正常人快。銀屑病癬癥狀標志是紅色的鱗狀皮膚斑塊,影響身體的兩側。常見于肘部和膝蓋,但銀屑病癬可以發生在身體的任何地方,包括頭皮、四肢、胸腹、腰背...[詳細]
-
眼旁有銀屑病癬怎么辦及初次病發圖片癥狀
如果銀屑病癬出現在眼睛附近,擔心是很自然的。有可以使用的有效治療方法。面部銀屑病癬通常出現在發際線,前額上部,眉毛周圍或鼻子和嘴唇之間。眼旁的銀屑病癬很少見,但要特別注意,因為如果不及時治療,它會影響...[詳細]
-
點滴銀屑病癬初次或完全病發多長時間能好
點滴銀屑病癬是一種遺傳性皮膚病,其特征是圓形小病變,常在鏈球菌感染后發生,幾乎可以影響整個身體。它是銀屑病癬的第二種常見形式,是在皮膚上出現細小的淺紅色,略帶鱗屑的斑點。通常在胸部,背部,手臂或腿部發...[詳細]
-
銀屑病癬最初癥狀照片和銀屑病癬圖片起始癥狀
銀屑病癬是一種很難治療的皮膚病,尤其是在后期。治療的有效性取決于患者的嚴重程度。如果你處在銀屑病癬起始的最初階段,那么消除皮膚會更快也更容易。 銀屑病癬不能完全治好,全部杜絕。如果在起始的最初階段及時...[詳細]
-
引起手心銀屑病癬圖片癥狀原因及怎么治療銀屑病癬
銀屑病癬是一種炎癥性皮膚病,其中有明顯的紅色鱗狀斑塊。銀屑病癬是一種危害性較大的頑固、反復、難治的皮膚病,早期銀屑病癬的發病部位有很多,可以說只要是皮膚涉及的部位均有幾率誘發。有不少的患者是在手心上有...[詳細]
-
緩解銀屑病癬晚上特別癢睡不著覺的8種自然方法
有很多方法可以在晚上制止銀屑病癬瘙癢,但在此前,你已知道患有銀屑病癬晚上特別癢,基本上是不可能停止的,這會導致很難睡著。你因過度抓撓而損傷皮膚,致使床單上擁有血跡。別忘了,銀屑病癬抓擦得越多,銀屑病癬...[詳細]
-
治療斑塊狀銀屑病的生物仿制藥及其他牛皮癬藥物匯總
用于治療斑塊狀銀屑病的最新藥物是白細胞介素-23 拮抗劑,它以Skyrizi、Ilumya和Tremfya的品牌名稱獲得批準。白細胞介素 23 拮抗劑通過阻斷白細胞介素 23(IL-23)起作用,IL...[詳細]
-
銀屑病癬怕堿性,檸檬水輔助治療銀屑病癬的效果有多明顯?
我們知道檸檬水對銀屑病癬有好處。在水中添加檸檬汁可以使水呈堿性狀態。那么銀屑病癬比較害怕的堿性水對治療銀屑病癬的好處又是什么呢?我們來細看一下。 人體pH值對銀屑病癬的影響 人體內肝臟和腎臟是負責從體...[詳細]
-
銀屑病牛皮癬:氟尿嘧啶用途副作用劑量和相互作用
品牌名稱: Carac、Efudex、Fluoroplex、Tolak 通用名稱: 氟尿嘧啶外用 什么是氟尿嘧啶外用? 氟尿嘧啶局部(用于皮膚)用于治療皮膚的鱗狀過度生長(光化性或日光性角化病)。氟尿...[詳細]




