點滴銀屑病癬初次或完全病發多長時間能好
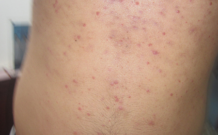
點滴銀屑病癬是一種遺傳性皮膚病,其特征是圓形小病變,常在鏈球菌感染后發生,幾乎可以影響整個身體。它是銀屑病癬的第二種常見形式,是在皮膚上出現細小的淺紅色,略帶鱗屑的斑點。通常在胸部,背部,手臂或腿部發現這些小點滴。
點滴銀屑病癬是由于細菌感染,例如鏈球菌性喉炎,尤其是在年輕患者中,20歲以下的人群中更為普遍,但在任何年齡段的任何人發生,它對男女的影響相同,在皮膚發白的人群中更為普遍。有些患者在幾周內沒有治療就消失了,而其它的患者則更持久并且需要治療。

點滴銀屑病癬初次病發多長時間
通常它反反復復,然后就是完全病發。在大約80%的患者中,斑點會在3周到3個月內消失,再也不會出現。但是在某些人中,它會發展成終身的斑塊狀銀屑病癬。有時你可能會再次病發,尤其是鏈球菌細菌仍在你的喉嚨或扁桃體中時。

點滴銀屑病癬完全病發多長時間
答案可能非常難回答,但是醫生將盡可能為你提供一個平均時間,重要的是,如何增加治愈能力并減少消除這種疾病所需的時間。如果你停止繼續傷害身體,點滴銀屑病癬會自行消除。
例如,如果你繼續吃高發炎性食物,高脂肪食物,大量加工的碳水化合物,則需要消除點滴銀屑病癬完全病發的時間會更長,但是,如果停止吃這些食物,那么點滴銀屑病癬會在短短的兩個星期內就會下去。
有的患者可能需要更長的時間才能好,點滴銀屑病癬是由全身的炎癥引起的,因此,炎癥越少,你的銀屑病癬就會減少,你的自我感覺就會越好。

點滴銀屑病癬的治療方法
你不必過分擔心,點滴銀屑病癬通常會在幾周到幾個月內自行消失。除非點滴銀屑病癬影響到你了,否則不一定需要治療。如果你的患病的地方發癢,你可能需要一些低效的類固醇乳膏。簡單的方法是使用保濕霜滋潤皮膚。
你還應該知道,雖然點滴銀屑病癬與細菌性喉嚨感染有關,但抗生素治療并不能使斑點下去的速度加快。
抗生素:通過使用抗生素消除鏈球菌感染。
光療:有助于去除皮膚鱗屑的生長。
類維生素A:對治療點狀銀屑病癬的皮膚感染非常有幫助。
外用劑:外用劑包括外用類固醇,煤焦油和卡泊三醇對緩解疼痛非常有益。
外用維生素D類似物或局部類維生素A:用于皮膚的治療方法。
PUVA治療:用紫外線B補骨脂素和紫外線治療(PUVA)也可以緩解點滴銀屑病癬的病發。
免疫抑制藥物:口服或注射的免疫抑制藥物,例如皮質類固醇或甲氨蝶呤,可用于快速治愈點滴銀屑病癬。
維生素D:富含維生素D的補充劑非常有助于治療點滴銀屑病癬,因為它可以幫助皮膚保持其正常的PH值。
點滴銀屑病癬一旦病發下去,很少會發生第二次病發(延伸:點滴狀銀屑病的治療方法及家庭療法)。如果鏈球菌潛伏在你的扁桃體中,可能會發生這種情況。點滴銀屑病癬下去后不會留下瘢痕,雖然它有時會留下白色痕跡,但會隨著時間而消失。
【具體治療方案可咨詢濰坊東方銀屑病研究院,謹遵醫囑,切勿自行用藥。如果您無法確定自身病情,可點擊右側咨詢窗口,或撥打我院電話0536-3087125,提供自己的皮膚病照片,我們會為您識別并提供相關治療建議。】





