-
夏季將至銀屑病需要遠離這些不良誘因
夏至,是又一個新的節氣,表示夏天就要到來了。明天是夏至,我們就要真正的踏入夏季的懷抱。其實對于銀屑病患者而言,是非常的希望夏季到來的,因為大部分的銀屑病的病情在夏季的時候會有明顯的可以轉甚至恢復。但是...[詳細]
-
傳統中醫解析牛皮癬的發生原因
關于牛皮癬病因的說法眾說紛紜,導致很多的牛皮癬患者非常的迷糊,不知道自己的病情到底是如何法神的,該如何接受診治,下面就通過傳統的中醫介紹牛皮癬的發病原因: 牛皮癬是一種常見的慢性皮膚病,其特征是在紅斑...[詳細]
-
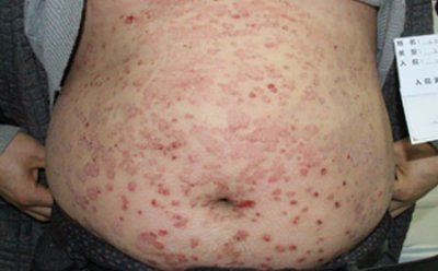
銀屑病長期反復不穩定的根源是什么
銀屑病是皮膚科的常見慢性疾病,在長了銀屑病之后患者一定要趁早的接受規范的科學的治療才能得到對銀屑病病情的基本控制,但是還是有一些銀屑病患者的病情處于長期不穩定的情況,那么銀屑病長期反復不穩定的根源是什...[詳細]
-
找出生活中那些可能會加重牛皮癬的誘因
牛皮癬是一種復發性的皮膚病,而且經過醫生的介紹,牛皮癬患者會了解到牛皮癬這種疾病會在一些因素的刺激下出現復發和加重,那么讓我們找出幾個生活中那些可能會加重牛皮癬的誘因: 環境臟亂容易滋生細菌: 如果銀...[詳細]
-
有些人突然發生銀屑病與哪些因素有關系呢
銀屑病治療的難點一直都是該病不明確的病因,這種病因不明的疾病不知道該具體從哪里下手,導致銀屑病患者被這種疾病長期的傷害。但是大部分的銀屑病患者是突然發病的,那么有些人突然發生銀屑病與哪些因素有關系呢?...[詳細]
-
性格內向脾氣暴躁的人更容易得銀屑病有根據嗎
現實生活中每個人的性格都是不相同的,有內向的,由外向的,有脾氣暴躁的,有性格溫和的……而現代醫學研究發現,銀屑病的發病跟精神因素有很大的關系,因此性格對銀屑病的影響還是非常大的。[詳細]
-
影響面部銀屑病發展加重的原因有哪些方面
銀屑病的發病部位是非常多變的,可以在某一個部位發病,也可以多個部位甚至全身發病。不管在那個部位,患者都應當積極進行治療,尤其是發生面部銀屑病的時候,患者更應該進行積極的治療。而因為患病部位的特殊性,面...[詳細]
-
是什么讓你的銀屑病一直都治不可以
銀屑病的癥狀在不同的時期是有不同的體現的,而且在銀屑病得病的初期該病是不容易確診的,而且非常容易出現誤診誤治的情況,對于銀屑病患者而言,更讓自己頭大的事情是銀屑病一直治療卻不見恢復,這是為何呢? 濰坊...[詳細]
-
銀屑病患者在日常生活中掉頭發的原因是什么
銀屑病患者在長時間的治療過程中,難免會因為治療不當引發一些并發癥,比如脫發、貧血等。這就需要患者在治療的時候,選擇規范的療法,以免加長治療周期,增加并發癥的發病幾率。[詳細]
-
分析:兒童銀屑病的主要發病原因有哪些
據調查顯示,目前銀屑病患者呈逐年上升的趨勢,兒童銀屑病患者亦是如此。由于兒童表達能力有限,因此我們應該更好的了解兒童銀屑病的發病原因等相關知識,才能為他們采取更有針對性的治療,及早為他們解除病痛折磨。...[詳細]




